Эозинофильный гастроэнтерит – причина заболевания неизвестна, в основе его лежит эозинофильная инфильтрация слизистой оболочки желудка, тонкой кишки и других органов желудочно-кишечного тракта, эозинофилия крови.
Синоним с более широким охватом изменений- эозинофильная гранулема. Первое описание патологии сделано Н.И. Тартыновым в 1913 году, а широкую известность получило после публикации шведского хирурга R. Kaijser в 1937 году. К настоящему времени описано более 250 случаев эозинофильного гастроэнтерита. Он представлен разными формами: инфильтраты и гранулемы желудка и тонкой кишки, инфильтраты толстой кишки и др.
Этиология и патогенез эозинофильной гранулемы.
Эозинофилы- клетки крови, отвечающие за иммунные реакции в организме, и, вероятно, в патогенезе данного заболевания важную роль играет иммунная реакция организма на не установленный антиген (или аллерген). У пациентов с данным заболеванием отмечается повышение уровня Ig E и отмечается положительный эффект от лечения кортикостероидами. Повышение Ig E отмечается не только у пациентов, но и у их ближайших родственников, что возможно свидетельствует о наследственном характере заболевания или же о воздействии однотипных аллергенов. Возможно причина кроется в питании и пищевых аллергенах. Деструктивные же изменения в стенке желудка и кишки обусловлены ферментативной протеолитической активностью эозинофилов. Накопление (инфильтрация) эозинофилов наблюдается как изолировано в отдельных слоях стенки желудка или кишки, так и в их сочетанном поражении. Так же возможно распространенное или сегментарное поражение одного или нескольких отделов. По форме возможно распространенное поражение - эозинофильный гастроэнтерит (энтероколит) или локальное - полипозная эозинофильная гранулема.
По типу гастроэнтерит и энтероколит N.C. Klein и соавт. разделяют на заболевание с поражением слизистой и подслизистой оболочек (у 57,5% пациентов), с преимущественным поражением мышечной оболочки (у 30%), с поражением серозной оболочки (у 12,5% больных).
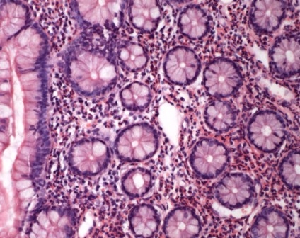
Эозинофильные гранулемы (полипы) формируются в любом отделе Желудочно-кишечного тракта (ЖКТ) и при микроскопии состоят из богатых сосудами грануляций с обильной инфильтрацией эозинофилами.
Клиника эозинофильного гастроэнтерита
В зависимости от локализации патологического процесса, выраженности деструктивных и воспалительных изменений будет наблюдаться и соответствующая клиническая картина. При вовлечении в процесс только желудка наблюдаются боли в его проекции (60-80%), тошнота и рвота (40-60%), диарея (у 60% больных). При распространении изменений на кишечник локализация болей изменяется, а диарея становиться чаще. При выраженных деструктивных изменениях возможно развитие кровотечения. Нарушение всасывания пищевых веществ (Синдром малабсорбции) и экссудативная энтеропатия приводят к истощению организма и похуданию. Истощение тем более выражено, чем больше площадь поражения, в тяжелых случаях сопровождается периферическими отеками и анемией, развивается у 1/3 больных. При вовлечении в инфильтративный процесс серозной оболочки - брюшины- развивается асцит с большим количеством эозинофилов в асцитической жидкости - до 88% эозинофильных гранулоцитов. Инфильтрация эозинофилами серозной оболочки сопровождается асцитом. Возможно системное поражения других серозных оболочек- полисерозит, что сопровождается развитием экссудативного плеврита, перикардита, артритов. Эозинофилия в крови выявляется у 90% больных эозинофильным гастроэнтеритом.
Локальная, полипозная эозинофильная гранулема при малых размерах полипов может ни как не проявляться. Симптоматика появляется при их увеличении до 3-4 см и связана в основном с разрушением, изъязвлением поверхности полипа или же обтурацией полипом просвета органа. Эозинофилия крови часто отсутствует.
Диагностика эозинофильного гастроэнтерита.
Диагноз основывается на клинической картине (боли в животе, тошнота, рвота, диарея, снижение массы тела), эозинофилии в анализе крови и при микроскопическом исследовании материала, полученного при биопсии пораженного участка стенки желудка или кишки.
Рентгенологическое исследование желудка и кишечника (энтерография или ирригография) позволяет обнаружить утолщение складок пораженных отделов желудка и/или кишки. Дифференцировать патологию следует от паразитарных заболеваний (глисты) и других болезней со схожими симптомами и эозинофиллией.
Лечение при эозинофильном гастроэнтерите.
Диета с исключением пищевых аллергенов, т.н. элиминационные диеты.
В период обострения болезни назначаются кортикостероидные гормоны: преднизолон в дозе 20-40 мг в течение 7-10 дней с последующим снижением дозы препарата. В ряде случаев требуется непрерывное применение преднизолона в дозе 5-10 мг. Больным эозинофильным гастроэнтеритом показано применение препаратов, стабилизирующих мембраны тучных клеток: хромгликат натрия, налкром, интал, кромолин натрия, задитен и др. Сочетанное применение этих 2хгрупп препаратов дает хороший эффект.
При выявлении эозинофильных полипов или развитии непроходимости кишечника, вызванной полипом, и при кровотечениях проводится хирургическое лечение.
