Туберкулез желудка возникает у больных гематогенным путем.
Его следует отличать от поражений слизистой желудка у туберкулезных больных, вызванных общей интоксикацией, выделением продуктов распада и приемом лекарственных веществ. Туберкулез желудка - это довольно редкое заболевание. Он протекает в виде двух основных форм: язвенный туберкулез желудка и стенозирующий туберкулез привратника. На ульцерозную форму приходится от 57 до 80% всех случаев туберкулеза желудка. Туберкулезные язвы желудка чаще бывают единичные, реже множественные (от 2 до 8).Размеры их небольшие, но могут достигать 10 см в диаметре. Они имеют округлую или овальную форму, иногда неправильную. Преимущественное расположение язв в антральном отделе и вдоль малой кривизны. Язвенная форма туберкулеза желудка чаще встречается у детей, чем у взрослых. Среди больных превалируют мужчины. Язвенный туберкулез развиваются у больных с различными формами туберкулеза легких (в 90% случаев). Стенозирующий туберкулез привратника является первичной локализацией туберкулеза, ибо часто не находят проявлений данного заболевания в других органах.
Симптомы туберкулеза желудка.
Патогномоничных симптомов туберкулеза желудка не существует, но каждая из двух форм имеет существенные особенности. При язвенной форме туберкулеза желудка клиническая картина может напоминать гастрит или язвенную болезнь. В то же время у больных этой формой встречается большое количество симптомов, характерных для туберкулеза легких и других органов. Осложнения в виде перфорации или кровотечения встречаются редко. По-видимому, такие осложнения наблюдаются у больных при сочетанном протекании туберкулеза и язвенной болезни. Нередко больных туберкулезом желудка беспокоят поносы, которые большей частью связаны с одновременным специфическим поражением кишечника, умеренная гипохромная анемия, повышение температуры и СОЭ.
Диагностика патологии желудка.
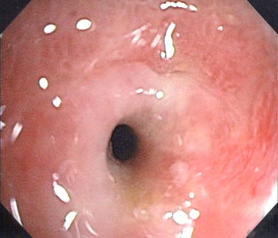
Важное место в диагностике туберкулеза желудка занимают гастроскопический и рентгенологический методы. При рентгенологическом исследовании можно обнаружить нишу в антральном или пилорическом отделе. Гастроскопия позволяет выявить язвы с мелкими узелками на дне, а в окружающей слизистой - множественные туберкулезные бугорки. Для установления характера язвы нужна прицельная биопсия и гистологическое исследование биоптата.
Стенозирующий туберкулез привратника проявляется симптомами нарушения эвакуаторной функции желудка. Единственная его особенность по сравнению со стенозами другой этиологии - это наличие поносов, связанных с поражением кишечника специфическим процессом. Иногда можно прощупать опухоль привратника, которую обычно принимают за раковую. Температура чаще всего нормальная или субфебрильная. Явления интоксикации мало выражены. Эвакуация контрастной массы замедленна, обнаруживаются неправильной формы дефекты наполнения в области привратника. Перистальтические движения в этом отделе отсутствуют, изменения слизистой напоминают картину «злокачественного рельефа».
Стенозирующий туберкулез привратника бывает трудно отличить от стеноза другой этиологии, особенно ракового и люэтического. Для дифференциации этих патологических процессов необходимо проводить серологическое, цитологическое исследования, осуществлять поиск других проявлений висцерального сифилиса или других органных локализаций туберкулеза.
Лечение туберкулеза желудка.
Лечение туберкулеза желудка ничем не отличается от терапии других форм туберкулеза. Обычно назначают противотуберкулезные препараты. При эффективном лечении эвакуаторная функция желудка улучшается за счет уменьшения воспалительных явлений, туберкулезные язвы хорошо рубцуются. В случае отсутствия эффекта от консервативной терапии или развития осложнений (кровотечение, перфорация) следует рекомендовать оперативное вмешательство.
